Murfreesboro, TN
Dr. Jet Jackson is a licensed D.C. in Murfreesboro, Tennessee, specializing in Corrective Chiropractic Care, Pediatric Chiropractic, Sports Injury. 100% Chiropractic provides chiropractic care for people of all ages—from infants to seniors.

D.C.
Dr. Jet is a passionate chiropractor with a deep commitment to helping people live healthier, pain-free lives. His journey in health and wellness began as a student-athlete, where he played soccer for Lindsey Wilson College and won a collegiate national championship. His personal motivation comes from his son Crue, who was born with Spina Bifida, and seeing chiropractic care help his family thrive has strengthened his dedication to every patient he works with.
100% Chiropractic provides chiropractic care for people of all ages—from infants to seniors. We believe in overall natural wellness care and long-term chiropractic corrective care. Services include corrective chiropractic care, accident and sports injury chiropractic, massage therapy, and family wellness care.
Top Contributor
18+ documented outcomes
Best of Murfreesboro
Top-rated provider
Results Assurance™
Patient protection program
Book with confidence. Your results are backed. Complete 100% Chiropractic Murfreesboro's recommended care plan. If you don't achieve your desired results, ChiropracticResults has your back with up to a $500 Care Credit to continue care with another verified provider.
Issued by ChiropracticResults · No cash refunds
Results Assurance™ provides a platform-issued care credit and is not a cash refund or guarantee of clinical outcomes. Credits may be applied toward care with another verified provider after reasonable compliance and completion of the provider-defined care milestone. Limit one credit per patient. Issued at ChiropracticResults' discretion. See full terms.
100% Chiropractic Murfreesboro
Achievements
D.C.
Dr. Jet is a passionate chiropractor with a deep commitment to helping people live healthier, pain-free lives. His journey in health and wellness began as a student-athlete, where he played soccer for Lindsey Wilson College and won a collegiate national championship. His personal motivation comes from his son Crue, who was born with Spina Bifida, and seeing chiropractic care help his family thrive has strengthened his dedication to every patient he works with.
Specialties:
Certifications:
What patients are saying about their care
"From "I can't concentrate in school" to normal school performance. Back pain, chest pain, breathing difficulty, and allergies all resolved."
"I feel like I'm back to my old self. Sciatica, low back pain, constipation, and erectile dysfunction all fully resolved."
"I'm a better hygienist now. From unable to sit at work to fully pain-free for 6+ months."
These are general guidelines. Always consult a qualified healthcare provider to determine if chiropractic care is appropriate for your specific situation.
Real results from real patients
Showing 18 of 18 outcomes
During care course
During care course
A few months
During care course
During care course
During care course
During care course
A few sessions
During care course
During care course
Several months
16 conditions with verified treatment outcomes
Real patient stories and treatment outcomes
No video case studies yet.
Articles and expertise from 100% Chiropractic Murfreesboro
This clinic hasn't published any insights yet. Check back soon for expert articles and wellness tips.
Visual evidence of treatment results including X-rays, scans, and clinical photos
Visual evidence of treatment outcomes


From 12.5° curvature to 1.2° over 1 year. Back pain, chest pain, breathing difficulties, and allergies all resolved. School concentration improved.


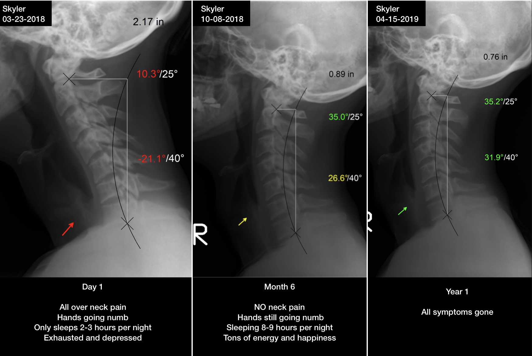
Cervical curve improved from -21.1° to 31.9°. Neck pain, hand numbness, sleep issues (2-3 hrs to 8-9 hrs), exhaustion and depression all resolved.


Sciatica, low back pain, digestion issues, and erectile dysfunction resolved in 9 months. "I feel like I'm back to my old self."


Sciatica and low back pain completely gone after 1 year. "Can't sit at work" to "I'm a better hygienist now."


Curvature reduced from 11.1° to 1.4° in 3 months. Back pain and digestion issues resolved. "I can sit in school all day with no pain."


Pain went from 10/10 to 1/10 in ~5 months. Couldn't stand straight or sit >10 min. Now back to working 8-10 hours as a plumber.
Data-driven insights from patient outcomes
Distribution of verified outcomes by condition
Patient improvement percentage by condition
Patients at this clinic commonly reported these additional improvements
Professional endorsements from healthcare providers
What other chiropractors say about this clinic
No recommendations yet
Be the first provider to endorse this clinic
Real progress. Real proof.
Every story below is backed by verified data collected right inside the clinic — not just opinions. These aren't reviews; they're outcomes that show what's possible when chiropractic care is measured, consistent, and patient-centered.
Avg. Pain Improvement
91%
After 6 weeks of care
Avg. Range-of-Motion Gain
+95°
Cervical flexion increase
Patient Satisfaction
5.0 / 5
Based on verified check-ins
Recommend to Others
99%
Would refer a friend
Data sourced from 18 verified outcome submissions between Feb 2026 – Feb 2026
"From "I can't concentrate in school" to normal school performance. Back pain, chest pain, breathing difficulty, and allergies all resolved."
– Verified Patient, February 2026
"I feel like I'm back to my old self. Sciatica, low back pain, constipation, and erectile dysfunction all fully resolved."
– Verified Patient, February 2026
"I'm a better hygienist now. From unable to sit at work to fully pain-free for 6+ months."
– Verified Patient, February 2026
"From can't sit in school desks to sitting pain-free all day. Back pain and digestive problems fully resolved."
– Verified Patient, February 2026
"Completely resolved my back pain. Daily activity tolerance improved dramatically with chiropractic care."
– Verified Patient, February 2026
"Was bed-ridden with severe sciatica. Now able to run, lift, and work out again. Daily sciatica episodes reduced from constant to rare and controlled."
– Verified Patient, February 2026
"Severe lower back, neck, and shoulder pain was affecting my everyday life. Treatment plan brought significant relief across all areas."
– Verified Patient, February 2026
"After trauma, lost ability to rotate my neck to the right. After a few months of care, regained specific movement and significant stiffness reduction."
– Verified Patient, February 2026
"Great help with back and neck issues. Pain and stiffness both reduced significantly with care."
– Verified Patient, February 2026
"Child can now sleep through the night. Night wakings reduced dramatically and sleep continuity improved significantly."
– Verified Patient, February 2026
"No longer in pain everyday. Daily pain frequency dropped dramatically and overall pain levels reduced significantly."
– Verified Patient, February 2026
"A lot of improvement with my neck. Both pain and mobility improved noticeably with consistent care."
– Verified Patient, February 2026
5.0 / 5 Patient Satisfaction
Based on verified visit surveys — not open internet reviews.
Share this clinic with friends, family, or colleagues looking for results-driven chiropractic care.
No reviews yet. Be the first to share your experience!
Dr. Jet Jackson has 18 verified patient outcomes documented. Check the reviews section below for detailed patient feedback.
100% Chiropractic Murfreesboro is closed today. Check the office hours section above for the full weekly schedule.
100% Chiropractic Murfreesboro is located in Murfreesboro, TN. You can find directions and the full address in the contact section above.
Dr. Jet Jackson treats a variety of conditions including back pain, neck pain, headaches, and more. Check the verified outcomes section for specific conditions treated.
You can schedule an appointment by calling (615) 956-7004 or visiting their website. Most clinics accept walk-ins, but calling ahead is recommended.
Yes. Dr. Jet Jackson has documented verified outcomes for thoracic & lumbar scoliosis patients. Review the outcomes section above for detailed improvement data and patient stories.
Dr. Jet Jackson utilizes Corrective Chiropractic Care and Family Wellness Care among other techniques. Contact the clinic to discuss which approach is best for your needs.
Take the first step toward lasting relief. Schedule a consultation with 100% Chiropractic Murfreesboro today and discover how chiropractic care can transform your life.